SMA

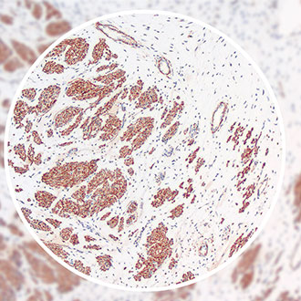
产品名称分类:抗平滑肌抗体(SMA)抗体试剂(免疫组织化学)
克隆号:DGM026、DGR026
来源:鼠/兔
适用平台:大格、徕卡、罗氏、DAKO
定位:细胞浆/细胞核
适用:石蜡切片
阳性对照:平滑肌组织
修复方式:高pH热修复
规格:3mL/6mL/10 mL (工作液)

产品简介

平滑肌肌动蛋白(Smooth Muscle Actin,SMA),分子量42 kDa,是一种高度保守的蛋白质。主要表达在平滑肌细胞、肌纤维母细胞和肌上皮细胞。SMA抗体可用于诊断平滑肌瘤、平滑肌肉瘤和多型性腺癌。

推荐产品

沪公网安备31012002005577号