Product Center

产品中心

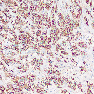
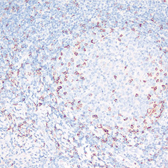
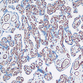
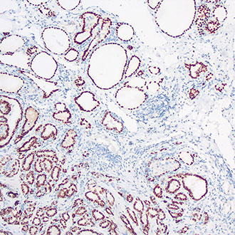
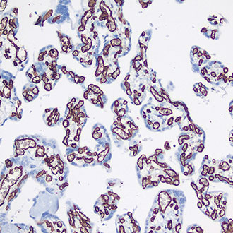
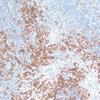
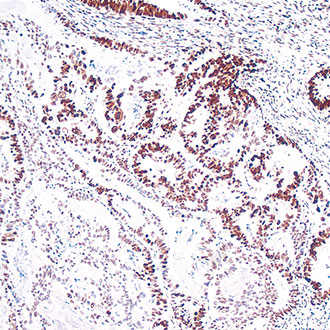
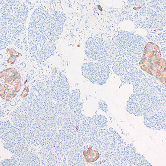
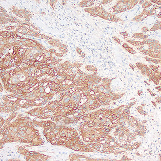
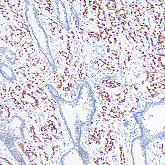
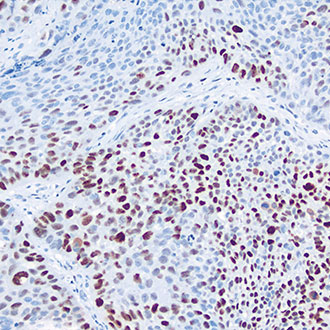
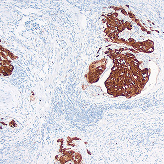
IHC

免疫组织化学(IHC)

按字母查找

沪公网安备31012002005577号