E-Cadherin

产品名称分类:E-钙黏附蛋白(E-Cadherin)抗体试剂(免疫组织化学)
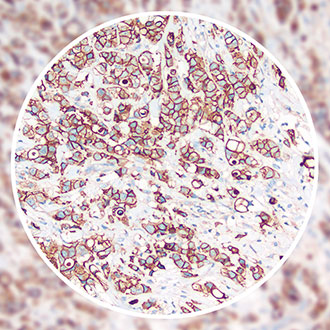
克隆号:DGM050、DGR050
来源:鼠/兔
适用平台:大格、徕卡、罗氏、DAKO
定位:细胞膜
适用:石蜡切片
阳性对照:乳腺癌/结肠
修复方式:高pH热修复
规格:3mL/6mL/10 mL (工作液)

产品简介

E-Cadherin(上皮性钙粘附蛋白-E,E-cad),分子量97 kDa,是一种跨膜的、钙依赖型的细胞粘附蛋白,隶属钙依赖性跨膜粘附蛋白家族。E-Cadherin主要介导同型细胞间的粘附作用,在调节器官、组织的形态发育和维持组织结构的完整性方面具有重要作用。E-Cadherin抗体可用于诊断肿瘤的浸润和转移,同时也是肿瘤进展、预后的重要标记物之一,并可与p120连环素联用用于区分乳腺导管癌和小叶癌。

推荐产品

沪公网安备31012002005577号